
(通讯员 刘革铭)近日,海滨人民医院心脏内科同一天收治两例心肌梗死患者行急诊介入治疗,相仿的年龄,几乎一模一样的病变,一模一样的治疗,但完全不一样的结局。
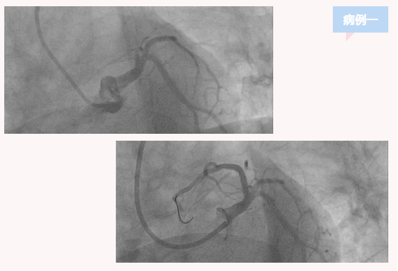
患者一,女,48岁,主因胸痛16小时来诊,急诊查心电图提示急性广泛前壁心肌梗死,急诊行介入治疗。造影提示前降支近段完全闭塞,其余冠脉基本正常,放置支架一枚,术中慢血流,心源性休克,经抢救病情仍不稳定,处于昏迷状态转重症监护室,呼吸机治疗,第二天抢救无效死亡。

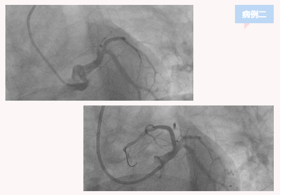
患者二,男,53岁,主因胸痛1小时来诊,急诊查心电图提示急性广泛前壁心肌梗死,急诊行介入治疗。造影提示前降支近段完全闭塞,其余冠脉基本正常,放置支架一枚,血流开通胸痛症状即刻缓解,住普通病房治疗一周后,康复出院。

两个病人,相仿的年龄,几乎一模一样的病变(都是前降支近段闭塞,闭塞血管位置一模一样),一模一样的治疗(入院后都第一时间行急诊介入治疗,放置支架一枚),为什么出现完全不一样的结局呢?对比病例,唯一差别就是就诊时间的早晚,第一例患者发病16小时方来就诊,第二例患者发病1小时马上就诊。
海滨人民医院心脏内科再次提醒广大民众,急性心肌梗死是最常见的危重心血管疾病,其特点是发病急,进展快,病情重,几分钟内即可能发生心脏骤停,时间就是心肌,时间就是生命,就诊越早,预后越好。心肌梗死预后与就诊时间早晚呈直线相关,每一小时的延误,死亡率就相对增加10%。
∵∴∵∴∵∴∵∴∵∴∵∴∵∴∵∴∵∴∵∴∵∴∵∴∵∴∵∴∵∴∵∴∵∴∵∴∵∴∵∴∵∴∵∴∵∴∵∴∵∴∵∴
知识链接:
◆胸痛的定义:胸痛是发于胸部或由躯体其他部位放射到胸部的疼痛,原因复杂涉及多个器官和系统,病情程度轻重不一,以急性胸痛,胸部不适为主,因此,早期识别胸痛,找出病因,对挽救生命有着重要的意义。
◆常见病因:胸痛的病因涵盖多个系统,有多种分类方法,从急诊处理和临床实用角度,可将胸痛分为致命性胸痛和非致命性胸痛两大类。

◆临床常见胸痛

◆常见致命性胸痛

